الأنياب المطمورة؛ أسباب تكوينها وأهمية الحفاظ عليها
تتكون الأنياب المطمورة داخل اللثة، ولا يستطيع النمو في الفم لتأدية وظيفته. نتناول في هذا المقال الحديث عن الأنياب المطمورة، وأسبابها، وعلاجها,
Share your love

تُعرف الأسنان المطمورة (أو المدفونة) على أنّها الأسنان التي تنمو وتتكوّن في مكانٍ يمنعها من القدرة على البزوغ بشكلٍ كاملٍ، وبالتالي غير قادرة على الظهور بالفم لتأدية وظيفتها. وتُعتبر الرّحى الثالثة (ضرس العقل) أكثر الاضراس المطمورة شيوعًا، بينما يأتي الناب العلوي (سن العين) بالمرتبة الثانية؛ نظرًًا لأنّها آخر الأسنان الأماميّة بزوغًا (في سن 13 من العمر تقريباً).
فبالنسبة لضرس العقل المطمور، فإنّه غالبًا لن يكون له أهميّة داخل الفم، لذلك يتمّ إزالته وقلعه جراحيًّا في كثيرٍ من الأحيان حتى لا يتسبّب في حدوث آلام شديدة، أو تكوين أكياس مرضيّة، أو أورام، وكي لا يؤثر على دفع الضرس المجاور له. وبالتالي يتسبّب في تسوّسه أو تحلل جذره. أما الأنياب العلويّة فتملك أهميّة كبرى.
أهميّة الأنياب داخل القوس السنيّة في الفم
الأنياب العلويّة تعتبر غاية في الأهميّة، فبالإضافة إلى أنّها تساعدنا في تقطيع الطعام فهي كذلك تعتبر جزءًا من ابتسامتنا الطبيعيّة. فعند عدم ظهور الأنياب في مكانها الصحيح داخل القوس السنيّة في الفم، فإنّه يبدو جليًّا أن هناك نقصٌ في تكوين ابتسامة الأسنان الجماليّة. وأحيانًا إن لم يكن هناك مجال لبزوغ الناب لضيق الفك مثلاً، فإنّ الحلّ الأمثل يكمن في خلع أحد الضواحك حتّى وإن كان سليمًا، في سبيل المحافظة على ظهور الناب في وضعه الصحيح. كما أنّ الأنياب تلعب دورًا حيويًا هامًا في عمليّة إطباق جميع الأسنان لتأدية وظيفتها بالشكل الصحيح.
أسباب انطمار الأنياب العلوية
إن أسباب انطمار الأنياب العلوية كثيرة جدا، ولكن للتسهيل على القارئ يمكننا اختصارها في ما يلي:
أوّلاً: وجود أسنان اضافيّة داخل القوس السنيّة.
ثانيّا: وجود حالات تزاحم الأسنان.
حيث أن حجم الأسنان المخطط لها بالبزوغ تعتبر أكبر من حجم الفك الحامل لهذه الاسنان، وبالتالي تتنافس الأسنان الموجودة لاحتلال أماكن الأسنان التي تكون في طور البزوغ والظهور داخل الفم، مما يجعل الأنياب لا تمتلك مجالاً كافيًا للبزوغ وتأدية وظيفتها، ويندرج تحت عامل تزاحم الأسنان أسباب عدّة نذكر منها:
1) العامل الوراثي: ويلعب دورًا هامًا في نمو الفكّين بشكلٍ متناسق لكي يستوعب جميع الأسنان في أماكنها الطبيعيّة و بزوغها من دون أي عائق.
2) تأخّر سقوط بعض الأسنان اللبنيّة في وقتها المحدّد.
3) فقدان بعض الأسنان في مرحلةٍ مبكرةٍ من عمر الطفل: فإذا تمّ خلع الأسنان أو الأضراس اللبنيّة في وقت مبكر، فستترك مكانًا فارغًا مما يؤدي إلى تحرك الأسنان المجاورة وميلانها نحو الفراغ الحاصل مسببةً ضيقًا في المساحة اللازمة للضرس الدائم للبزوغ، وهذا بدوره يؤدي الى عدم بزوغ الضرس أو بزوغه في اتجاه غير صحيح. الأمر الذي يستدعي المعالجة التقويميّة لإعادة المساحة اللازمة لبزوغ السن. وهذه الحالة عادة ما تصيب الأضراس الخلفيّة، والوقاية منها تكون بالمحافظة على الضرس و علاجه بإعادة ترميمه، أو معالجة أعصابه “المعالجة اللبيّة”، أو خلعه وتركيب جهاز تقويمي يسمى “حافظ المسافة “space maintainer”.
ثالثًا: ممارسة بعض العادات الضارة بصحة الفم والأسنان في مرحلة الطفولة، مثل عادتي مص الإبهام والدفع اللساني، فهما تؤديان إلى ضيق في الفك العلوي والذي يؤدي بدوره إلى عدم استيعاب القوس السنيّة للأنياب، وبالتالي انطمارها داخل العظم وعدم بزوغها.
رابعًا: التنفس عن طريق الفم بسبب بعض الأمراض في الجهاز التنفسي (مثل وجود اللحميات) مما يؤدي الى ضيق في الفك العلوي.
خامسًا: في بعض الأحيان يُعتبر نمو الزوائد غير العاديّة على الانسجة الرخوة في اللثة، أو السماكة الشديدة في اللثة عائقًا أمام تقدّم الأنياب وبزوغها في مكانها الصحيح، مما يؤدي إلى انطمارها.
الكشف المبكر للتعرف على الناب المطمور يعد مفتاح نجاح العلاج
إن الفحص الروتيني (السريري والاشعاعي) للأطفال قبل نهاية العام السابع من عمرهم مهم للغاية، حيث يتمّ اكتشاف مدى احتمالية تعرض الطفل لسوء الاطباق، وما ينتج عنه من انطمار الأنياب مستقبلا، فالعديد من مشاكل سوء الإطباق ممكن تداركها وعلاجها بشكلٍ أسهل عند اكتشافها مبكرًا في هذا العمر.
– أحيانًا تُترك بعض الحالات قيد المراقبة حتى سن التاسعة أو العاشرة، وإذا تبيّن أن مجال بزوغ الناب سيكون كافيًا لاستقباله داخل القوس السنيّة من دون عائق، فهذا يعدّ فرصةً جيّدةً لبزوغ الناب بصورةٍ طبيعية.
– أمّا إن بقي الناب مطمورًا حتى الثالثة عشر من عمر الطفل، فعندها يُنصح بتحويله إلى أخصائي تقويم الأسنان، وذلك لصعوبة بزوغ الناب بصورةٍ طبيعيّة.
* كلّما تأخّر المريض أكثر فأكثر، كلّما زادت فرصة التحام الناب مع العظم، وعندها سيصعب العلاج بالتقويم بتوجيه الناب للبزوغ في مكانه، وربما يكون الخلع الجراحي هو الحل الوحيد.
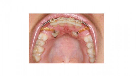
طريقة علاج الأنياب المطمورة بواسطة تقويم الأسنان
– في الحالات التي يكون فيها المريض في مرحلة النمو، ويكون فيها الناب المطمور في مكان معقول وبالقرب من مكانه الطبيعي، فإنّ الحفاظ عليه ينبغي أن يكون الهدف الرئيسي للعلاج إن كان ذلك ممكنًا. ويكون غالبًا بعمل فتحةٍ جراحيّةٍ صغيرةٍ بالقرب من تاج الناب المطمور وذلك لكشفه، ثم يقوم الطبيب بعد ذلك بوضع حاصرةٍ على تاج ذلك الناب المطمور، ومن ثم يوصل بسلسلةٍ قصيرةٍ ما بين الحاصرة الموضوعة على الناب والحاصرة الموجودة على أقرب سن داخل القوس السنيّة، مما يساعد في سحب الناب المطمور بمرور الوقت لمكانه الطبيعي.
– بالرغم من أنّ هذه الطريقة تبدو معقّدة، إلا أنّ تمكّن الناب المطمور من البزوغ بهذه الطريقة، هو في الواقع عمل روتيني تمامًا عند بعض جرّاحي الأسنان وأخصائيّ تقويم الأسنان، ويمكن التنبّؤ بدرجة نجاحها قبل البدء بالعلاج.
ولا بد هنا من التأكيد على أن إهمال علاج الناب المطمور يؤثر سلبًا على المريض، خاصة من ناحية التشوهات التي يحدثها في الوجه والفكين والتي بدورها تؤدي إلى حالة نفسيّة متدهورة وتراجع ثقة المريض بنفسه.
اقرأ أيضاً:
اضطرابات في بزوغ الأسنان
نصائح مـن أجــل ابتسامـة أجمــل
الاعتبارات الصحيه والسنيه قبل وبعد قلع الاسنان
ضرس العقل شبح الأسنان
عادة الدفع اللساني عند الأطفال Tongue Thrust Habit
بزوغ اسنان الاطفال بين الفرح والحزن
جهاز لعلاج عادتيّ مص الإبهام والدفع اللساني
العلاج التقويمي للبروز الزائد للأسنان العلوية



