تسوس الأسنان
Cavities
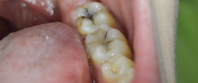
تسوس الاسنان هو عبارة عن أجزاء من أسنان مصابة بالتعفن الذي قد يتطور إلى ثقوب صغيرة أو كبيرة بشكل تدريجي.
يشكل تسوس الاسنان إحدى المشاكل الصحية الأكثر انتشارا في مختلف أنحاء العالم. وهو منتشر، بالدرجة الأولى، بين الأطفال والمراهقين، إلا إن كل إنسان في فمه أسنان قد يصاب بالتسوس. وفي حال عدم معالجة تسوس الاسنان، فإن الثقوب قد تكبر وتتسع مما يسبب آلاما شديدة، التهابات، وحتى فقدان أسنان ومضاعفات أخرى.
[wpcc-script type=”application/ld+json”]
إن المواظبة على زيارة طبيب أسنان بشكل منتظم، تنظيف الأسنان بشكل دقيق واستعمال النّصاح السِنّي (خيط أسنان للتنظيف الأسنان – Dental floss) بشكل منتظم ودائم – هي، معا، الوقاية الأفضل لمنع التسوّس وتعفّن الأسنان.
أعراض تسوس الأسنان
الأعراض الأولية لتطور تسوس الاسنان تختلف من حالة إلى أخرى، وهي تتعلق بدرجة التسوس وموقعه.
فالتسوس في بدايته قد لا يكون مصحوبا بأية أعراض أو علامات. لكن، كلما اشتد التسوس، فقد تظهر أعراض مختلفة، منها:
- آلام الأسنان
- حساسية الأسنان
- آلام طفيفة أو حادة عند تناول أطعمة ساخنة أو باردة أو مشروبات محلّاة (وهي آلام تستمر حتى بعد الانتهاء من الأكل أو الشرب)
- ثقوب أسنان يمكن ملاحظتها بالعين
- ألم عند قضم الطعام
- ظهور قيح (صديد) حول السن
أسباب وعوامل خطر تسوس الأسنان
التسوّس، الذي يسمى أيضا تعفن السن، يحدث نتيجة لعدة أسباب وعوامل مجتمعة معا، من بينها:
- أسنان غير نظيفة
- عدم الاعتناء بنظافة الأسنان
- تناول حلويات ونقارش مشروبات تحتوي على السكّر
يحتوي تجويف الفم، كما أعضاء أخرى في الجسم، على أنواع عديدة من الجراثيم المختلفة. بعض هذه الجراثيم ينمو ويتكاثر في بيئة من الأغذية أو المشروبات المختلفة التي تحتوي على السكريات أو النشويات المطبوخة، والتي تعرف أيضا باسم الكربوهيدرات المخمّرة (Fermentedcarbohydrates).
حين لا تتم إزالة هذه الكربوهيدرات، بواسطة تنظيف (فرك) الأسنان، تقوم الجراثيم بتحويلها إلى أحماض، في غضون 20 دقيقة. الجراثيم، الأحماض، جزيئات الطعام واللعاب تتحول إلى لويحة سنّية (Dentalplaque) هي عبارة عن طبقة لزجة تغطي الأسنان.
عند وضع اللسان على الأسنان يمكن استشعار هذه اللويحة السنيّة، بعد ساعات قليلة فقط من تنظيف الأسنان. وتكون اللويحة السنيّة خشنة بعض الشيء في منطقة الأسنان الطواحن (أو: الأرحاء – molars)، وخاصة على طول خط اللثة.
الأحماض التي تتكون في اللويحة السنية تهاجم المعادن الموجودة في الطبقة الصلبة من السن، والمسماة “مينا” (Enamel)، وهي الطبقة الخارجية التي تغطي السن.
إن تآكل طبقة “المينا” في السن يؤدي إلى حدوث ثقوب صغيرة فيها – هي تسوس الاسنان.
في حال تآكل أجزاء من طبقة “المينا”، تصبح الجراثيم والأحماض قادرة على الوصول إلى الطبقة الثانية من السن، والمسماة “العاج” (وهي الطبقة الوسطى من السن – Dentine). هذه الطبقة هي أكثر ليونة وأقل قدرة على مقاومة الأحماض، من طبقة “المينا”.
حين تصل عملية تسوس السن إلى هذه النقطة، تزداد وتيرة وسرعة تعفّن السن، تدريجيا. وكلما استمر هذا الأمر، تتقدم الجراثيم والأحماض في طريقها إلى داخل الطبقات التي تتكون منها السن. فهي تتقدم إلى داخل طبقة اللبّ السنّيّ (لبّ السنّ – Dental pulp)، وهي الطبقة الداخلية من السن، مما يؤدي إلى انتفاخها وتهيجها.
قد يصيب تسوس الاسنان، أيضا، العظمة التي تسند السنّ. في المراحل المتقدمة جدا من التسوس، يعاني المصاب من آلام حادة، من حساسية زائدة في الأسنان لدى القضم ومن أعراض أخرى.
كما إن الجسم، قد يردّ على مثل هذا التغلغل الجرثومي في داخله، وذلك عن طريق إرسال خلايا دم بيضاء لمحاربة الالتهاب الناشئ.
نتيجة لذلك، قد يتكوّن الخُراج (Abscess) في الأسنان. عملية تعفن السن، هذه، تستغرق وقتا غير قصير.
كلما استمر تآكل طبقات السن، واحدة بعد الأخرى، من جراء التسوس، فإن هذه العملية تأخذ بالتسارع أكثر فأكثر. والتسوس يبدأ، غالبا، في منطقة الطواحن (الأرحاء / الأضراس) الخلفية، نظرا لأن فيها فتحات، فجوات وتعرجات أكثر من الأسنان الأخرى.
بالرغم من إن هذه البنية تساعد، كثيرا، في مضغ الطعام، إلا إنها تشكل، أيضا، مرتعا ممتازا لتكدس بقايا الطعام. كما إن تنظيف هذه الأضراس أكثر صعوبة من تنظيف الأسنان الأمامية، التي هي أكثر ملامسة ومن السهل الوصول إليها.
نتيجة لذلك، تتكون اللويحة السنية بسهولة وسرعة أكبر في الأضراس الطاحنة حيث تترعرع الجراثيم وتنتج الأحماض وتقضي، بالتالي، على طبقة “المينا”.
عوامل خطر الإصابة بتسوس الأسنان
تسوس الأسنان ، كما ذكرنا، هو إحدى المشاكل الصحية الاكثر انتشارا في العالم، وكل شخص في فمه أسنان معرض لخطر الإصابة بالتسوس. وثمة عوامل عدة من شأنها زيادة خطر الإصابة بالتسوس أو تطور حالة من تعفن الأسنان.
عوامل الخطر هذه عديدة، من بينها:
- أنواع معينة من المأكولات والمشروبات: فبعض هذه الأنواع تعتبر عوامل مسببة للتسوّس أكثر من غيرها. وتعتبر السكريّات (الكربوهيدرات) المخمّرة من اهم اسباب تسوس الاسنان، نظرا لأنها تلتصق بالأسنان لفترات زمنية طويلة.
- النقارش: الاستهلاك المفرط للنقارش والمشروبات المحلّاة.
- أسنان غير نظيفة: عدم تنظيف (فرك) الأسنان
- المياه المعدنية: إضافة الفلوريد إلى مياه الشرب تساعد على تقليل انتشار التسوس بين الناس، لأن هذه المعادن تقي طبقة “المينا” في السن. ولكن في أيامنا الراهنة، كثيرون جدا من الناس يستهلكون المياه المعدنية أو المياه المصفاة التي لا تحتوي على الفلوريد، وبذلك يخسرون الوقاية التي يوفرها الفلوريد لأسنانهم.
- العمر: أسنان الكبار في السن
- مشاكل في الأسنان: أسنان تشكو من التراجع اللثوي
- الجفاف في جوف الفم: الجفاف في جوف الفم يدل على نقص في اللعاب. وللعاب دور مركزي في منع تسوس الاسنان. فهو يقوم بشطف بقايا الطعام واللويحات السنيّة من الأسنان، كما إن المعادن الموجودة فيه تساعد على معالجة المراحل المبكرة من تسوس الاسنان.
- الحشوات المركّبة (أو: الحشوات التعويضية – Composite fillings) المتخلخلة أو المدببة.
- اضطرابات التغذية: فَقـْد الشهية المتعمّد (Anorexia) أو النُّهام (الشّرَه – Bulimia) قد يؤديان إلى تآكل جدي في طبقات السن وظهور التسوس. فالأحماض الهضمية التي تصل إلى جوف الفم جرّاء التقيؤ تصيب الأسنان وتؤدي إلى تآكل طبقة “المينا” فيها. كما إن اضطرابات التغذية قد تشوّش وتعيق عملية إنتاج اللعاب.
- حُرقة الفؤاد: ( الحرقة في المعدة – heartburn).
- الاتصال عن قرب: بعض الجراثيم المسببة لتعفن الأسنان يمكن أن ينتقل من شخص إلى آخر من خلال القبل أو استعمال أدوات أكل مشتركة. كما إن الأهل أو الأشخاص الذين يقتربون جدا من الأطفال قد ينقلون هذه الجراثيم إليهم.
- السرطان: بعض علاجات مرض السرطان.
مضاعفات تسوس الأسنان
تسوس الاسنان منتشر بشكل واسع جدا إلى درجة إن كثيرين من الناس لا يتعاملون معه بالجديّة المناسبة. فمن الدارج، مثلا، عدم الاهتمام بإصابة الأطفال بالتسوس في أسنان الحليب. إلا إن تسوس الاسنان قد يؤدي إلى مضاعفات وتعقيدات خطيرة وبعيدة المدى، حتى لدى الأطفال الذين لم تنبت أسنانهم الثابتة بعد.
من بين هذه المضاعفات:
- أوجاع
- خُراج (Abscess) في الأسنان
- تساقط الأسنان
- تكسّر الأسنان
- مشاكل في المضغ
- التهابات حادة
وبالإضافة إلى ذلك، فعندما يصل تسوس الاسنان إلى مرحلة تكون فيها الأوجاع حادة جدا، فإن هذا قد يعيق ممارسة الحياة اليومية بشكل طبيعي، إلى درجة الحيلولة دون خروج الطالب إلى مدرسته أو العامل إلى عمله.
أما إذا كانت الأوجاع حادة وتعيق عملية الأكل أو المضغ، فإنها قد تؤدي إلى سوء تغذية ثم خسارة في الوزن.
وإذا أدى التسوس إلى تساقط أسنان فقد يؤثر ذلك سلبا على الثقة بالنفس. وفي بعض الحالات النادرة جدا، قد يؤدي الخُراج (Abscess) المتكون جراء تسوس الاسنان، إلى تلوث حاد قد يشكل خطرا على حياة المريض إذا لم تتم معالجته كما ينبغي.
تشخيص تسوس الأسنان
يستطيع طبيب الأسنان تشخيص تسوس الاسنان بسهولة فائقة. فهو يسألك عما إذا كانت لديك آلام أو حساسية، ثم يقوم بفحص فمك وأسنانك ويقوم بوخز الأسنان بأداة فحص خاصة للتأكد ما إذا كانت هنالك أماكن رخوة في الأسنان.
وقد تحتاج إلى فحص أسنان بالأشعة السينيّة (أشعة رنتجن -X-ray) القادرة، هي أيضا، على تشخيص تسوس الاسنان.
طبيب الأسنان، يمكنه أيضا، تحديد أنوع التسوس – وهي ثلاثة:
- تسوس أسنان (تعفّن) على سطح السن: هذا النوع يصيب السطح الخارجي للسنّ، حيث تستطيع الجراثيم البقاء لوقت طويل، بينما تهاجم الأحماض طبقة “المينا”. يظهر، غالبا، على الجانب الخارجي من السن، أي المتجه نحو الخدّ، في الخط القريب من اللثة. وهذا النوع ممكن الوقاية منه ومعالجته بسهولة إلا إذا ظهر في مناطق ما بين الأسنان.
- تسوس أسنان الطواحن (الأرحاء): تسوس أسنان من هذا النوع يهاجم الفجوات والتقعرات في الأسنان الطاحنة، على سطح الجزء الماضغ. وهذا النوع قد يتطور بشكل سريع إذا ما لم نهتم بنظافة الفم والأسنان، أو إذا لم نعالج تسوس الاسنان بشكل فوري لدى ظهوره.
- تسوس أسنان من جذر السن: تسوس أسنان من هذا النوع يظهر في منطقة جذر السن. وهو منتشر، بالأساس، بين الكهول الذين يعانون من تراجع اللثة.
علاج تسوس الأسنان
علاج تسوس الاسنان يتعلق، بشكل كبير، بدرجة التسوس ومدى خطورته وبالحالة الصحية بشكل عام.
من بين ما تشمله العلاجات:
- العلاج بالفلوريد
- الحشوات المركّبة (أو: الحشوات التعويضية – Composite fillings)
- علاج جذر السن (أو: علاج العصب)
- التاج (غطاء كامل للسن يستخدم لترميم وإصلاح الأسنان التالفة)
- خلع (قلع الأسنان).
الوقاية من تسوس الأسنان
المحافظة على نظافة الفم والأسنان بشكل منتظم تساعد على الوقاية من تسوس الاسنان.
إّذا اتّبعت النصائح والتعليمات التالية يمكنك منع تسوّس أسنانك أو تعفنها:
- تنظيف (فرك) الأسنان بعد الأكل أو الشرب
- شطف الفم
- زيارة طبيب أسنان بشكل منتظم
- فحص إمكانية شدّ الفجوات بين الأسنان
- شرب المياه من الصنابير (الحنفيات)
- الامتناع قدر المستطاع عن تناول النقارش والمشروبات المحلّاة
- تناول أطعمة تقوّي صحة الأسنان
- علاج بالفلوريد
- استخدام مضادات البكتيريا عند اللزوم.
