
يبدأ سقوط الأسنان اللبنية لدى الطفل من عمر 5 إلى 7 سنوات، ويتباين الأمر من طفل لآخر، حيث يمكن أن تبدأ الأسنان في الظهور قبل 5 سنوات أو بعد 7 سنوات، ويرجع ذلك لعدة عوامل في نمو الطفل، ولذلك يجب ألا تقوم الأم بمقارنة طفلها بالآخرين.
ماذا يعني ظهور أسنان خلفية للطفل؟
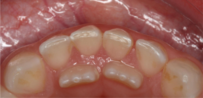
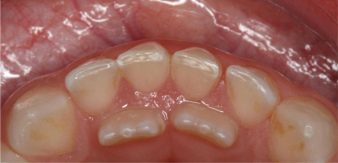
في بعض الأحيان، تلاحظ الأم ظهور الأسنان الدائمة خلف الأسنان اللبنية دون سقوطها، وهو ما يثير المخاوف حول سقوط الأسنان اللبنية واحتمالية نمو الأسنان الدائمة في مكان غير صحيح، ويُعرف هذا الأمر باسم “سمك القرش“، حيث يصبح لدى الطفل صفين من الأسنان لتتشابه في شكلها مع أسنان القرش، وهي حالة يتأخر فيها سقوط الأسنان، مع ظهور الأسنان الدائمة خلفها.
وتتصور كثير من الأمهات أن هذا الأمر غير طبيعي، ولكن لا داعي للقلق، فهو أمر شائع بين كثير من الأطفال، وعادةً ما تختفي هذه المشكلة مع تقدم عمر الطفل.
أسباب ظهور الأسنان الخلفية
هناك بعض الأسباب التي تؤدي لظهور الأسنان الخلفية، وتشمل:
- حجم السن الدائم
عندما يكون حجم الأسنان الدائمة أكبر من المساحة التي تشغلها أسنان الأطفال، فيمكن أن تبدأ في النمو خلف الأسنان اللبنية، ويمكن ملاحظة حجمها الكبير بعد بدء نموها في الخلف.
- إنحراف نمو الأسنان
من الطبيعي أن تقوم الأسنان الدائمة بالضغط على جذور الأسنان اللبنية لتساعد في نزعها من الجذر وتصبح سهلة الخلع، ولكن في بعض الأحيان تنمو الأسنان الدائمة في وضعية مائلة، وتبدأ في اختراق اللثة خلف الأسنان اللبنية، مما يجعلها تنمو في الخلف مع ثبات الأسنان اللبنية في موضعها.
كيفية التصرف عند ظهور الأسنان الخلفية
في حالة ظهور الأسنان الخلفية، يمكن للأم أن تبدأ في تحريك الأسنان اللبنية للمساعدة في إزالتها ولكن دون أن تسبب ألماً للطفل، ويكون ذلك بحركات جانبية وأمامية وخلفية، ومع الوقت سوف يسهل التخلص من الأسنان اللبنية الثابتة.
وبمرور الوقت، سوف تساعد الضغوط الناتجة عن الأنسجة الرخوة باللسان في تصحيح مسارها لتعود لمكانها الصحيح مرّة أخرى. أما إذا فشلت محاولات خلع الأسنان اللبنية الثابتة مع استمرار نمو الأسنان الدائمة في الخلف، فيجب استشارة طبيب الأسنان للمساعدة في علاج المشكلة دون أي تأثيرات سلبية على نفسية الطفل.
احتياطات هامة عند ظهور أسنان خلفية
يجب الإنتباه لبعض الأمور في حالة ظهور الأسنان الخلفية، وهي:
- عدم محاولة خلع الأسنان الثابتة: في حالة صعوبة خلع الأسنان الثابتة، يجب ألا تحاول الأم أن تقوم بإزالة أي أسنان بالقوة لأن هذا الأمر مؤلم للطفل ويمكن أن يسبب التهابات اللثة ومشكلات خطيرة. حيث أن خلع الأسنان اللبنية بالقوة ممكن أن يضر بجذور الأسنان ويؤدي إلى ضعفها.
- مراقبة الأسنان: ينصح بمراقبة أسنان الطفل في مرحلة النمو للتأكد من عدم نمو أكثر من سن خلفي. كما أن استمرار نمو الأسنان الخلفية لوقت طويل دون سقوط الأسنان الأمامية يستدعي استشارة الطبيب.
حالات تستدعي زيارة طبيب الأسنان
هناك بعض حالات أسنان القرش التي يجب فيها الذهاب إلى الطبيب، وتشمل:
عدم تحرك الأسنان لمدة شهرين
مع محاولات الأم في تحريك الأسنان، ينبغي سقوط الأسنان اللبنية بعد شهرين من ظهور الأسنان الدائمة خلفها. ولكن في حالة استمرار ثبات الأسنان اللبنية لمدة تصل إلى شهرين، فيجب الذهاب لطبيب الأسنان.
ظهور الأسنان الخلفية خلف الضروس
عادةً ما تظهر الأسنان الخلفية خلف الأسنان الأمامية، ولكن إن ظهرت خلف الضروس، فقد يتسبب هذا في تكدس الأسنان، وذلك نظراً لأن حجم الضروس كبير على عكس الأسنان الأمامية الرفيعة، ولذلك يجب الذهاب للطبيب.
شعور الطفل بألم وانزعاج
يمكن أن تتسبب أسنان القرش في شعور الطفل بألم وعدم ارتياح، وخاصةً مع تحرك الأسنان اللبنية التي تزيد من الانزعاج عند تناول الطعام، وحينها ينصح باستشارة طبيب الأسنان.
علاج نمو الأسنان الخلفية
إذا حدث نمو لبعض الأسنان الدائمة خلف الأسنان اللبنية، فيمكن أن يحتاج الطفل إلى عمل تقويم فيما بعد لتعديل مسار هذه الأسنان الخلفية، ويساعد التقويم في علاج هذه المشكلة بسهولة.
طرق الحفاظ على أسنان الطفل
إن سقوط الأسنان اللبنية وتبديلها لا يعني إهمالها وعدم الحفاظ عليها، بل يجب الإهتمام بصحة الأسنان اللبنية وكذلك الأسنان الدائمة، وذلك من خلال بعض الأمور الهامة، وهي:
- الحصول على التغذية الجيدة
هناك إرتباط وثيق بين ما يتناوله الطفل وصحة أسنانه، ولذلك يجب الإهتمام بتغذية الطفل جيداً منذ الصغر للمساعدة في صحة وقوة الأسنان.
وتعد الأطعمة والمشروبات الغنية بالكالسيوم من أهم الأطعمة لصحة الأسنان، مثل الحليب ومشتقاته، كما يجب أن يحصل الطفل على كافة العناصر الغذائية التي يحتاجها جسمه في هذه المرحلة، وفي مقدمتها الخضروات والفاكهة والحبوب الكاملة.
- الحد من تناول السكريات والحمضيات
وفي المقابل، ينصح بعدم الإفراط في تناول الحلويات التي تؤثر على صحة الأسنان، وضرورة غسلها بعد تناول أي حلوى مباشرةً.
كما أن للحمضيات تأثيرات سلبية على صحة وقوة الأسنان، ولذلك ينصح بعدم الإكثار من تناول الفواكه الحمضية على الرغم من أهميتها لصحة الطفل.
- الإهتمام بنظافة الأسنان
يجب على الأم الاهتمام بنظافة أسنان الطفل وتشجيعه على غسلها جيداً يومياً لتخليصها من البكتيريا التي تسبب التسوس ووقايتها من الأمراض المختلفة. وينطبق هذا على الأسنان اللبنية والدائمة، حيث تعتقد بعض الأمهات أن غسل الأسنان اللبنية أمر غير ضروري لأنها سوف تسقط، وهذا خطأ شائع لأن صحة الأسنان الدائمة يعتمد على صحة وقوة الأسنان اللبنية.
ويمكن للأم شراء فرشاة الأسنان الناعمة والمعجون المناسب للطفل وفقاً لمرحلته العمرية. ينصح بغسل الأسنان فور الإستيقاظ من النوم وبعد كل وجبة، وكذلك قبل الخلود إلى النوم، كما يجب غسل الأسنان بعد تناول أي دواء.
ويجب التأكد من غسل الأسنان بطريقة صحيحة، وذلك بوصول الفرشاة إلى مختلف مناطق الأسنان من الداخل، وكذلك تفريشها من أعلى لأسفل والعكس، فهذا يضمن التخلص من بقايا الطعام العالقة بين الأسنان.
- اختيار معجون أسنان بالفلورايد
يعتبر غسل الأسنان بمعجون يحتوي على الفلورايد هو أفضل طريقة لمنع تسوس الأسنان، حيث تتوفر أنواع معجون الأسنان الفلورايد لمختلف الأعمار، مع اختلاف نسبة الفلورايد المتوفرة في المعجون لتناسب الطفل.
- الإهتمام بنظافة اللسان
من الأمور الهامة التي لا تلتفت إليها بعض الأمهات هو تنظيف لسان الطفل، حيث أن البكتيريا يمكن أن تتراكم على اللسان وأسفله، مما يسبب التلوث والرائحة الكريهة بالفم.
- شرب كثير من الماء
من الضروري أن يعتاد الطفل على شرب كثير من الماء، حيث يساعد في تنظيف وتطهير الفم والأسنان خاصةً بعد تناول الأطعمة والمشروبات، ويفضل أن يتناول الطفل الماء غير بارد حتى لا يؤثر على صحة الأسنان.
- المتابعة الدورية مع طبيب الأسنان
ينصح بأخذ الطبيب إلى طبيب الأسنان مرّة كل ستّة أشهر للطمأنة على صحة أسنانه ونموها بشكل طبيعي، والإستمتاع لنصائحه وإرشاداته للحفاظ على الأسنان.
كما يجب الذهاب إلى الطبيب في حالة ملاحظة أي تغيرات بأسنان الطفل، مثل تغير لونها أو ظهور أي تسوس أو شعور الطفل بألم أو حساسية الأسنان أو التهابات باللثة.

