
مقدمة حول أمراض اللثة بالصور
تعرف أمراض اللثة بأنها عدوى خطيرة في اللثة، سببها النمو الزائد للبكتيريا في الفم، مما يسبب تلف في الأنسجة الرخوة، وقد تؤدي إلى تدمير العظام التي تقوم بدعم الأسنان وبالتالي فقد الأسنان إن لم يتم علاجها.

سبب حدوث أمراض اللثة
يعود السبب الرئيسي في ذلك إلى تراكم البكتيريا، بالإضافة إلى بعض العوامل الأخرى مثل سوء التغذية، السمنة، التغيرات الهرمونية، الإصابة ببعض الأمراض، الأدوية التي قد تؤثر على صحة الفم، العادات السيئة مثل التدخين، قلة العناية بنظافة الفم، والوراثة.

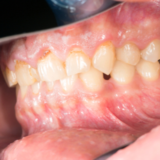
أعراض أمراض اللثة
ومن أبرز الأعراض لأمراض اللثة؛ وجود انحسار في اللثة أو انتفاخها أو احمرارها، نزيف اللثة بسهولة، رائحة فم كريهة، وجود قيح، فقد أحد الأسنان أو نشوء فراغات جديدة بين الأسنان أو ألم عند المضغ.

تشخيص أمراض اللثة بالصور
يستطيع طبيبك تشخيص ذلك عبر التحقق من بعض الأعراض مثل وجود ألم في اللثة، الإنتفاخ، أو النزيف عند تنظيف الأسنان. وقد يحتاج الطبيب إلى التحقق من الأسنان باستخدام مسبار دواعم السّنّ، أو استخدام الأشعة السينية.

علاج أمراض اللثة
يكون العلاج تبعًا للحالة، وفي معظم الحالات يقوم الطبيب بتنظيف الأسنان وإزالة أي ترسبات، وإرشادك إلى الطريقة الصحيحة لتنظيف الأسنان لمنع تكون الترسبات مرة أخرى. أما إن كنت تعاني من مرض شديد في اللثة فقد يستدعي الأمر اللجوء إلى الجراحة.

الوقاية من أمراض اللثة
من أفضل طرق الوقاية من أمراض اللثة هي الحفاظ على نظافة الفم بتنظيف الأسنان مرتين يوميًا لمدة دقيقتين، واستخدام خيط الأسنان مرة يوميًا على الأقل، بالإضافة إلى زيارة طبيب الأسنان بشكل منتظم كل 6 أشهر إلى سنة، وقد يساهم الحفاظ على نمط حياة صحي في التقليل من مخاطر أمراض اللثة.

ارتباط أمراض اللثة بمشاكل صحية أخرى
في ظل ظروف معينة قد تسبب البكتيريا الموجودة في الفم، والتي تشق طريقها إلى مجرى الدم مشاكل صحية؛ مثل السكتات الدماغية وأمراض القلب، بالرغم من أن هذه البكتيريا نفسها غير ضارة لدى الأشخاص الأصحاء. وعلى صعيد آخر فإن أمراض اللثة قد تزيد مرض السكري سوءًا.
[wpcc-script type=”text/javascript” src=”https://static.webteb.net/resources/production/webteb/js/slideshowJs_98002539630_51-15070272750″]
من قبل هيلدا قواسمي


