
تسوس الأسنان
ينتج تسوس الأسنان -المعروف أيضًا باسم تجاويف الأسنان- عن عوامل عديدة، قد تتمثل في زيادة البكتيريا الضارة الموجودة في الفم، واستمرار تناول الوجبات الخفيفة، والإفراط في المشروبات السكرية، وعدم تنظيف الأسنان بالشكل الصحيح. يعد تسوس الأسنان من الحالات الطبيةالأكثر شيوعًا في العالم، لذا نقدم لك أنواع تسوس الأسنان بالصور.

تسوس السطح الأملس
يحدث تسوس السطح الأملس في الأجزاء الأكثر نعومة من الأسنان نتيجة تراكم البلاك على جوانب الأسنان لفترات طويلة، وهو من الأنواع الأقل خطرًا التي يمكن علاجها بسهولة، يمكنك الوقاية من حدوثه عن طريق تنظيف أسنانك بالفرشاة والخيط بشكل صحيح مرتين في اليوم.

تسوس الحفر والشقوق
يمكن تمييز تسوس الحفر والشقوق بتواجدها في الأضراس -التي تساعدك على مضغ الطعام- عند تواجد الحفر الصغيرة في أضراسك الخلفية، قد يدخل الطعام فيها، ما قد يتسبب في بقاء السكريات بداخلها، الأمر الذي يزيد من فرصة إصابة الضرس بالتسوس، يمكنك الوقاية منه بمراجعة طبيب الأسنان للتخلص من الحفر، والمحافظة على نظافة السن.

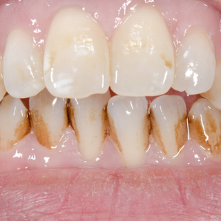
تسوس الجذر
يعد التسوس الذي يحدث في جذر السن من أكثر أنواع تسوس الأسنان إشكالية، إذ ينجم غالبًا عند تعرض جذر السن للإصابة بسبب استخدام فرشاة التنظيف القاسية، كما أن جذر السن لا يحتوي على مينا واقية، لذلك من الممكن أن ينتشر التسوس بشكل أسرع من الأجزاء الأخرى من السن، للوقاية منه تأكد من تنظيف الأسنان بلطف واستخدم فرشاة أسنان ذات شعيرات ناعمة.

الوقاية من تسوس الأسنان
يمكنك منع إصابتك بتسوس الأسنان باتباع هذه النصائح: نظّف أسنانك مرتين في اليوم بمعجون أسنان يحتوي على الفلورايد، أو بالخيط، قلل من تناولك للوجبات الخفيفة، قم بزيارة طبيب أسنانك بانتظام لتنظيفها، وإجراء الفحص الشامل، استشر طبيب أسنانك بشأن استخدام الفلورايد التكميلي الذي يقوي أسنانك.

طرق تخفيف ألم الأسنان
يمكنك اتخاذ بعض الخطوات لتقليل شعورك بألم الأسنان حتى تستطيع الذهاب إلى طبيب الأسنان مثل: تناول مسكنًا للألم دون وصفة طبية، أو استخدم مخدرًا لألم الأسنان بدون وصفة طبية، أو استخدم الماء الدافئ لتنظيف أسنانك، يمكنك أيضًا استخدام معجون الأسنان المخصص للأسنان الحساسة، تأكد من تجنب الأطعمة أو المشروبات الساخنة، أو الباردة، أو السكرية التي تزيد من التسبب لألم الأسنان.

مضاعفات تسوس الأسنان
قد يبدو تسوس الأسنان مشكلة بسيطة، لكن ينبغي عليك أخذ مخاطرها على محمل الجد، إذ يمكن أن تسبب التجاويف مشكلات طويلة الأمد بما في ذلك: الألم، وصديد ناتج عن عدوى بكتيرية، وتلف الأسنان، ومشكلة في المضغ، وفقدان الأسنان. كما يجدر التنويه إلى أن هذه المضاعفات تنطبق أيضًا على الأطفال الذين لديهم أسنان مؤقتة.
[wpcc-script type=”text/javascript” src=”https://static.webteb.net/resources/production/webteb/js/slideshowJs_98002539630_51-15070272750″]
من قبل سلام عمر


