التهاب المعدة
Gastritis
يمكن تصنيف الالتهابات المختلفة في الغشاء المخاطي (البطانة) في المعدة تبعا لدرجة خطورة الضرر اللاحق بالغشاء، أو تبعا لموقع الالتهاب في المعدة، أو تبعا لنوع الخلايا التي أصيبت في الالتهاب. ومع ذلك، فان تصنيف التهاب المعدة لا يدل بالضرورة على مسبب الالتهاب.
التهاب المعدة التآكلي (Erosive gastritis):
تميز هذا النوع من التهاب المعدة بوجود التقرحات على غشاء المعدة. الضرر اللاحق بغشاء المعدة في مثل هذه الحالات سطحي ولا يخترق الطبقة العضلية في الغشاء. اسباب التهاب المعدة الشائعة لهذا النوع من الالتهاب: تناول أدوية من مضادات الالتهاب اللاستيرويدية (Non – steroidal Anti – Inflammatory Drug – NSAIDs / NAIDs) تناول المشروبات الكحولية، الصدمات النفسية، أضرار ناجمة عن التعرض لإشعاعات، انخفاض في تدفق الدم إلى المعدة واحتقان في نظام الوريد البابيّ (Portal venous system) الشائع في أمراض الكبد المزمنة. ويعتمد تشخيص هذا النوع من الالتهاب على شكل الغشاء المخاطي في فحص التنظير الداخلي (Endoscopy) للمعدة.
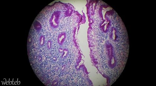
التهاب المعدة غير التآكلي (التهاب المعدة المزمن):
لا علاقة لهذا النوع من التهابات المعدة بشكل (مظهر) نموذجي مميز يظهر في فحص التنظير الداخلي، لكنه عبارة عن تغيرات مجهرية تظهر في فحص عينة (خزعة – Biopsy) من الغشاء المخاطي للمعدة.

هذا هو الشكل الأكثر شيوعا من التهاب المعدة المزمن. هو تلوث تسببه جرثومة الملوية البوابية (Helicobacter pylori). على المدى الطويل، قد يسبب الالتهاب المزمن ضمورا في الغدد المخاطية التي تفرز الحمض فيؤدي إلى حالة تعرف باسم التهاب المعدة الضموريّ (Atrophic gastritis). هذا التغيير يحدث، على نحو شبه مؤكد، نتيجة عوامل بيئية ووراثية، بالإضافة إلى عدوى بكتيريّة.
[wpcc-script type=”application/ld+json”]
التهاب غدد قاع المعدة (نوع أ) (gastritis Fundic glands):
في هذه الحالة، يصيب الالتهاب، بصورة أساسية، الغدد التي تفرز الأحماض والموجودة في جسم المعدة وفي قاع المعدة (Gastric fundus). ونتيجة لذلك، قد يحدث ضمور غدّي كبير قد يؤدي إلى التوقف التام عن إفراز أحماض المعدة (وهي الحالة التي تسمى اللاهيدروكلوريّة، أي: فُقـْد حمض المعدة – Achlorhydria)، إلى خلل في امتصاص فيتامين “ب 12” (Vitamin B12) وإلى نشوء فقر الدم الوبيل (Pernicious anemia). ويمكن العثور عند معظم المرضى الذين يعانون من فقر الدم الوبيل على أضداد (أجسام مضادة – Antibodies) للخلايا الجدارية (Parietal cells) أو أضداد للعامل الداخلي.
أسباب وعوامل خطر التهاب المعدة
اسباب التهاب المعدة قد تكون نتيجة لعوامل فريدة مثل: التلوث، داء كرون (التهاب مزمن في الأمعاء – Crohn’s disease)، التهاب مصاحب لكثرة اليوزينيات (Eosinophilia) في الدم، أمراض التهابية جهازية، مثل ساركويد (Sarcoidosis)، التهابات نتيجة تناول بعض الأدوية (الأدوية التي تضعف الجهاز المناعي، أدوية العلاج الكيميائي والأشعة). في هذه الحالات، يتم التشخيص استنادا إلى النتائج المميزة المستخلصة من عينات الغشاء المخاطي للمعدة.
علاج التهاب المعدة
علاج التهاب المعدة، في جميع الحالات، موجهة، بالأساس، إلى مسبّب الالتهاب. وقد يكون من المفيد، في حالات عديدة، علاج التهاب المعدة بواسطة مضادات الحموضة، أو بالأدوية المضادة لإنتاج الأحماض: حاصرات مستقبلة الهيستامين (H2 – Histamine H2 receptor) أو مثبطات مضخة البروتونات(Proton Pump Inhibitors – PPI).
