
طرق تبييض الأسنان الصفراء
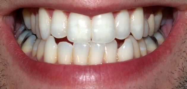
تعدّ الأسنان البيضاء وسيلة تعكس الصحة، والأسنان البيضاء تمنح جمالًا وتألّقاً خاص لابتسامتك، وفي كثير من الأحيان نستعمل الفرشاة والمعجون بانتظام، لكننا
Share your love
}
تعدّ الأسنان البيضاء وسيلة تعكس الصحة، والأسنان البيضاء تمنح جمالًا وتألّقاً خاص لابتسامتك، وفي كثير من الأحيان نستعمل الفرشاة والمعجون بانتظام، لكننا لا نمتلك هذا اللون الأبيض الناصع، وإنّما تبقى أسناننا صفراء جيرية، فإذا كنت تحلم باسنان بيضاء اقرأ هذا الموضوع حيث ستجد مجموعة من الخطوات التي تساعد في ذلك.
خطوات تبييض الأسنان
شرائط تبييض الأسنان
عليك التأكد في البداية أنّها من النوع الجيد والصحي، وعليك التأكد أنّه لا يتكون في محتواه على ثاني أكسي الكلور، وأن تكون مصنعة من مادة البولي ايثلين، وتتكون العلبة من شريطين واحد للفك الأعلى والثاني للفك الأسفل، ولاستعمال الشرائط الخاصة بتبييض الأسنان، قم أولاً بتنظيف أسنانك بالفرشاة والمعجون، واستخدم خيط الأسنان لإزالة الترسبات البسيطة بين الأسنان، ثم يقوم شريط الأسنان بإتمام المهمة حيث يتخلص من الطبقة الصفراء القوية العالقة بالأسنان.
‘);
}
من الجدير بالذكر أنه من المهم قراءة التعليمات على العبوة، حيث تختلف طريقة استخدام كل نوع، ولكن على بالعموم ينصح باستخدام الشريط على الأسنان لمدة ثلاثين دقيقة على الأقل للحصول على النتائج المرجوة، ثبت الشريط جيداً على الأسنان وذلك بتمرير أصبعك عليه ذهاباً وإياباً، لكن انتبه من تحريك لسانك؛ لأنّ ذلك سيشعرك بالإعياء قليلاً لكنه لايسبب الضرر، بعد انقضاء الوقت قم بإزالة الشريط بلطف دون ملامسة اللسان، مع العلم أنّ بعض الأنواع تتلاشى وتذوب على الأسنان، وفي النهاية قم بغسل الأسنان بالماء بشكل جيد، وكرّر هذه العملية على مدى ثلاثة أشهر، حيث ستحصل على النتيجة التي ترضيك إذا كنت تستعمل الشريط بشكل صحيح.
جيل التبيض أو معجون الأسنان المبيض
اقرأ المعلومات على الغلاف بشكل جيد في البداية، حيث يتم غسل الأسنان بالجل المبيض دقيقتين متواصلتين على الأقل، ثمّ غسل الأسنان جيداً بالماء، ويستخدم الجل مرّتان أسبوعياً وستشعر بالفرق خلال أيّام، أمّا بالنسبة للمعجون المبيض تأكّد من أنّه مصرح به من منظمات الصحة حيث تعمل هذه المعاجين على تبييض المنطقة السطحية للأسنان من خلال تلميعها حيث يستعمل بنفس طريقة الجل.
بيروكسيد الهيدروجين
بيروكسيد الهيدروجين وهي مادة مصرح بها من جمعية أطباء الأسنان الأمريكية حيث تعتبر هذه المادة من المواد الآمنة على الأسنان، كما يساعد في التخلص من البكتيريا الموجودة في الفم، وفي الغالب تعبأ هذه المادة في زجاجات داكنة اللون لمنع تسرب الضوء إليها ومن المستحسن أن تكون نسبة هذه المادة عند شرائها ثلاثة بالمئة، ويتم استعمالها كغسول قبل تنظيف الأسنان بالفرشاة والمعجون وذلك بالمضمضة لمدة دقيقة واحدة ثم غسل الأسنان بالماء النظيف.
بيروكسيد الهيدروجين مع صودا الخبز
- أضف ملعقتان طعام من مادة بيروكسيد الهيدروجين إلى ثلاثة ملاعق طعام صغيرة مادة من صودا الخبز، ثم قم قم بمزج المكونات للحصول على عجينة مثل معجون تنظيف الأسنان تقريباً.
- ضع بعض معجون الأسنان إلى المزيج الذي حضرته وذلك لتصبح نكهته معقولة أو ضع القليل من خلاصة النعناع.
- باستعمال الفرشاة اليدوية قم بتنظيف أسنانك بوضع المزيج عليها والتنظيف بحركة دائرية، وذلك لدقيقتين تقريباً، ثم قم بتنظيف أسنانك بالماء جيداً.
فيديو خلطات تبييض الأسنان
ما مدى صحة استخدام خلطات التبييض؟ تابع الفيديو لتعرف أثرها على أسنانك



