علاج الاسنان الامامية المسوسة Treating decay of the front teeth
نُقدم إليك عزيزي القارئ علاج الاسنان الامامية المسوسة Treating decay of the front teeth، حيث ينتج عن عدم غسل الأسنان وتناول الأطعمة بكثرة أو الابتعاد عنها
Share your love
نُقدم إليك عزيزي القارئ علاج الاسنان الامامية المسوسة Treating decay of the front teeth، حيث ينتج عن عدم غسل الأسنان وتناول الأطعمة بكثرة أو الابتعاد عنها بكثرة تكوّن طبقة الكلس، بالإضافة إلى ترسيب البكتريا على الأسنان، فيما يُعتبر اللعاب هو من العوامل المؤثرة على تسوس الأسنان الأمامية.
فقد أشارت وزارة الصحة السعودية إلى أن التسوس هو الذي يُسبب ضرر على ميناء الأسنان، نتيجة لتناول الأطفال والكبار كميات وفيرة من الوجبات الخفيفة وكميات من السكريات والمشروبات الغازية مما يتسبب في الثقوب والتجاويف في الأسنان وبالتالي تبدأ المعاناة، فماذا عن طرق علاج تسوس الأسنان الأمامية في المنزل هذا ما نستعرضه من خلال مقالنا في موسوعة ، فتابعونا.
علاج الاسنان الامامية المسوسة
يُصاب الأطفال والكِبار بتسوس الأسنان الأمامية، وذلك كنتيجة لتناول كميات كبيرة من السكريات وإهمال غسل الأسنان بغسول يحتوي على مادة الفلوريد، فيما يشعر الكثير بالمعاناة إذا ما أصاب التسوس أسنانه، فما بالكم بإصابة الأسنان الأمامية، فإليك عزيزي القارئ أبرز سُبل العلاجات التي يلجأ إليها الأطباء والتي من أبرزها ما يلي:
- يقوم الطبيب المعالج في حالة تسوس الأسنان الأمامية بإضافة تيجان على الأسنان.
- وقد يقوم الطبيب باستخدام الجسور، كما يلجأ بعض الأطباء إلى الاعتماد على حشوة الأسنان.
- يُعالج طبيب الأسنان الأسنان الأمامية المُصابة بالتسوس من خلال إجراء إزالة للتسوس الموجود في جزء من الأسنان.
- يلجأ الطبيب المعالج إلى علاج عصب الأسنان في حالة وجود التسوس بشكل عمودي متغلغل إلى لب السن، وذلك عن طريق قيامه بإجراء تعديل على القنوات العصبية، وإزالة التسوس ومن ثم وضع المضادات، وحشوها بدقة شديدة.
- الجدير بالذكر أن تلك الحشوات هي التي يتم تبديلها من فترة إلى أخرى، ولكن في حالة إذا ما كان السن في حالة ليست بالجيدة، فيقوم الطبيب بخلعه وزراعة سن جديد، ولكن لا يلجأ الطبيب إلى تلك المرحلة إلا في حالة ضمار السن وضعف قدرته وتسبُبه في ألم للمريض.
- تُعتبر زيارة المريض لطبيب الأسنان بصفة دورية كل ستة أشهر من شأنها أن تسهم في الحد من أعراض التسوس وعدم تفاقم المشكلة.
- يُنصح بتجنب تناول المشروبات الغازية المليئة بالسكريات، بالإضافة إلى عدم تناول الحلويات والأطعمة السريعة، والابتعاد عن التدخين وتناول الكحوليات.
- يجب على المريض غسل الأسنان بعد تناول الطعام، أو الحلوى، مُستخدمًا الفرشاة الناعمة، مُضافًا إليه معجون الأسنان الغني بالفلوريد، والغرغرة بالنعناع.
علاج تسوس الأسنان الأمامية في المنزل
توجد العديد من السُبل التي تسهم في علاج تسوس الأسنان من دون تكاليف باهظة الثمن أو انتظار موعد للتوّجه إلى الطبيب، ومن أبرز تلك السُبل المنزلية هي ما نستعرضها فيما يلي:
علاج تسوس الأسنان بالثوم
- يُعتبر العلاج بالثوم من أشهر علاج تسوس الأسنان بالثوم قديما ، وذلك لما يتمتع به من عناصر مضادة للبكتريا والجراثيم، لذا فإن مضغ الثوم يوميًا من شأنه أن يقتل الجراثيم والتسوس في الأسنان.
- وذلك من خلال تحضير 2 فص ثوم مُضاف إليه نصف ملعقة من الملح، بالإضافة إلى المعجون على فرشاة الأسنان وغسل الأسنان الأمامية جيدًا.
- يوصي الأطباء بترك المسحوق على الأسنان لمدة 5 دقائق ومن ثم الغرغرة بغسول النعناع المنعش لزوال رائحة الثوم، الجدير بالذكر أنه يتوجب على الشخص تكرار استخدام تلك الخلطة يوميًا مرة واحدة لمدة أسبوعين لكي تأتي بثمارها على الأسنان.
الملح لعلاج التسوس
- يبرز دور الملح الخشن في الحد من أعراض التسوس خاصة على الأسنان الأمامية.
- لما له من دور كبير في التخلُص من البكتريا والجراثيم والألم الناتج عن التسوس.
- ولاسيما ويكمن دور الملح في منع انتشار التسوس في الأسنان، بالإضافة إلى التخلُص من الالتهابات اللثوية.
- وذلك من خلال وضع ملعقة من الملح في نصف كوب من الماء الدافئ، ومن ثم الغرغرة بهذا الماء، فيما يُكرر هذا لمدة ثلاثة مرات يوميًا بعد غسل الأسنان.
القرنفل لعلاج تسوس الأسنان
- يُعتبر القرنفل من أشهر المسكنات والمضادت الحيوية للبكتريا التي تُستخدم منذ القِدم في الأسنان، بالإضافة إلى دوره في العلاج وتسكين الألم الناجمة عن التسوس.
- فكل ما على المريض هو وضع القرنفل أسفل الضرس المسوس، والضغط عليه لمدة عشر دقائق ولكن يُرجى عدم الضغط بقوة حتى لا يتسبب لألم في الضرس.
- فيما ينصح الأطباء باستخدام معلقة من القرنفل على كوب من الماء الدافئ ومن ثم المضمضة به للتخلُص من الشعور بالألم.
- الجدير بالذكر أن القرنفل هو الذي يحتوي على مضادات الالتهابات التي تتخلل السن لتصل إلى التجاويف ومن ثم تتسبب في الشعور بالراحة.
- ومن ابرز طرق استخدامات القرنفل في هيئته الزيتية، هو استخدام ثلاثة قطرات من الزيت على نصف ملعقة من بذور السمسم، والحصول عل قطرة منه كل يوم على قطعة من القطن، والمسح بها على الأسنان بلين لكي لا يتأثر السن، كما يوصي الأطباء بوضع القرنفل تحت اللسان وتركها لتفرز مكوناتها في الفم.
تسوس الأسنان الأمامية من الجذور
- قد يلحظ البعض منا في الأسنان الأمامية تسوس ينجم عن عدم غسل الأسنان بشكل جيد، مع تناول كميات كبيرة من السكريات والأطعمة الخفيفة، فضلاً عن تجنُب تنظيف الأسنان.
- ليتغلغل التسوس إلى جذور الأسنان ومن ثم يبلغ العصب، وبالتالي يُصاب السن بالبكتريا، ويصحب هذا الشعور بالألم.
- ينتج التسوس في جذور الأسنان نتيجة لتراكم البلاك على الأسنان، الناجم عن الإفراط في تناول النشويات والسكريات، بالإضافة إلى إهمال غسل الأسنان، بالإضافة إلى تناول الطعام والذهاب للنوم على الفور.
- مما يُصيب الأسنان بثقب في المينا، ومن ثم تراكم طبقة البلاك، فتتآكل يمنا الأسنان ومن ثم يسهُل على التسوس الوصول إلى الأسنان والإضرار بمقوماتها الطبيعية وتركيبها، مما يؤثر بدوره على عصب الأسنان، لتظهر علامات التسوس مع تناول المشروبات فيبدأ الشعور بالألم.
- وبالتالي تتأثر الطبقة الداخلية للسن، وتتأثر كل من الأوعية الدموية والعصب مما يجعل الشخص غير قادر على تحمُل الألم.
أعراض الإصابة بتسوس الأسنان
توجد بعض الأعراض التي تظهر على الشخص في حالة الإصابة بتسوس الأسنان، حيث يتوجب على المريض التوجه للطبيب المعالج على الفور، ومن أبرزها ما يلي:
- خروج رائحة كريهة من الفم.
- ملاحظة لون داكن على الأسنان من الخارج.
- ظهور دم في اللثة أثناء وقت تنظيف الأسنان باستمرار.
- الشعور بالألم في الأسنان في حالة تناول المشروبات الساخنة أو الباردة.
- عدم القدرة على تناول الطعام أو المضغ بشكل جيد، إذ أنه ينجم عنه الشعور بالألم وبالتالي يمتنع المريض عن تناول الطعام فينحف وزنه بشكل مفاجئ.
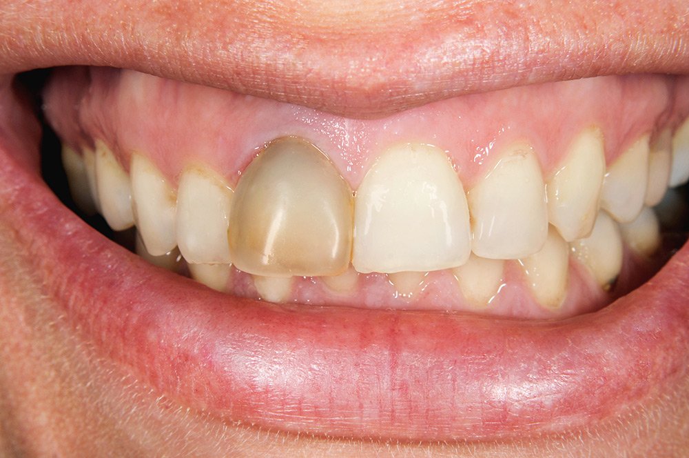
تسوس الأسنان الأمامية
تبرز العديد من أنواع التسوس في الأسنان الأمامية، وهذا ما نُسلط الضوء عليه عبر مقالنا فيما يلي:
- ظهور علامات التسوس في خارج السن، وذلك على هيئة خط بالقرب من مكان اللثة، فيما يُعتبر هذا النوع الذي يُقابل الخد من أيسر أنواع التسوس الغير مؤلم الذي قد يُعالج بتفريش الأسنان بانتظام بمادة الفلوريد، مع الحد من تناول السكريات والأطعمة الخفيفة.
- يظهر النوع الثاني من التسوس الشائع في الأسنان الأمامية في جذور الأسنان، بالإضافة إلى جوانب الأسنان، وخاصةً عند الأشخاص الذين تنحسر لديهم اللثة.
- يتضح هذا النوع الثالث في الأسنان الأمامية حيث يظهر تسوس الأسنان في الجوانب.
أسباب تسوس الأسنان رغم تنظيفها
يتساءل الكثيرين عن أسباب تسوس الأسنان رغم تنظيفها وخاصة الأسنان الأمامية، لذا نصحبكم في جولة لتسليط الضوء عليه فيما يلي:
- ضعف المناعة من أبرز مُسببات تسوس الأسنان، فيما يتضح التسوس عند الأشخاص الذين يعانون من مرض السكري، نتيجة لعدم القدرة على مقاومة البكتريا.
- جفاف الفم يُعتبر من أسباب التسوس نتيجة لأنه يتسبب في الحد من اللعاب الذي بدوره يحد من انتشار البكتريا في الفم.
- نقص الكالسيوم في الجسم يتسبب في تسوس الأسنان وضعفها.
- كما يُعتبر انحسار اللثة؛ من أهم مسببات تسوس الأسنان نتيجة لتسببه في دخول البكتريا إلى جذر الأسنان.
- يُعد اعوجاج الأسنان من العوامل التي تجعل الأسنان تُصاب بالتسوس بسهولة، نتيجة لعدم القدرة على غسلها أو نفاذ المعجون إليها.
عرضنا من خلال مقالنا علاج الاسنان الامامية المسوسة من خلال المراجع والدراسات، إلا أنه يجب أن ننوه إلى أن تلك المعلومات استرشادية فقط، ويجب الرجوع إلى الطبيب المختص ومراجعته، كما يُمكنك عزيزي القارئ مُتابعة المزيد عبر الموسوعة العربية الشاملة بقراءة اسباب تسوس الاسنان وعلاجها.
المراجع
1-
2-
3-





