
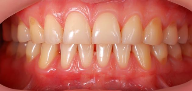
كيف اقوي لثتي
الكثير من الأشخاص يعانون من مشاكل اللثة من وقت لآخر و يرغبون في التخلص من هذه المشاكل و بقاء لثتهم قوية و نظيفة و خالية من أي مشاكل تؤثر علي صحة الأسنان
Share your love
}
الكثير من الأشخاص يعانون من مشاكل اللثة من وقت لآخر و يرغبون في التخلص من هذه المشاكل و بقاء لثتهم قوية و نظيفة و خالية من أي مشاكل تؤثر علي صحة الأسنان و الفم أيضاً .
و قد تكون تتبع عادات خاطئة تؤدي إلي ضعف لثتك أو لا تهتم بنظافة لثتك و أسنانك بالشكل المطلوب ،و كل هذه الأشياء تؤثر كثيراً في قوة و صحة اللثة و اذا تركت لثتك من دون علاج و أهملتها سوف تؤدي بك إلي مشاكل أخري و نزيف في اللثة و يجب أن تقوم بمراجعة طبيب الأسنان حتي تعالج مشكلة لثتك في أسرع وقت .
و لكن هناك عدة طرق يمكنك إتباعها في المنزل لمعالجة لثتك و المحافظة علي قوتها مثل :
‘);
}
ابتعد عن التدخين فهو مضر جداً بصحتك بشكل عام و بصحة لثتك بشكل خاص ، و يؤدي إلي إصابتك بأمراض اللثة الخطيرة و قلة المناعة و الإستجابة لأي علاج .
حافظ علي نظافة فمك و أسنانك و قم بغسل أسنانك ثلاث مرات يومياً بعد الأكل ، حتي تبقي نظيفة و تتخلص من بقايا الطعام التي تكون عالقة في الأسنان
و تسبب رائحة كريهة و التهابات .
حاول قدر الإمكان الإبتعاد عن التوتر و المشاكل التي تؤثر في صحتك كثيراً و تقلل من قدرتك علي مقاومة الأمراض و خصوصاً أمراض اللثة ، فهي مرتبطة كثيراً بنفسية الشخص و معنوياته .
اذا لاحظت احمرار و تورم لثتك فننصحك باستخدام محلول الماء ، و ذلك بخلط الملح في كوب ماء دافئ و قم بمضمضت فمك به كل يوم و سوف تلاحظ أنّ لثتك قد تعالجت و أصبحت أفضل و أقوي من السابق .
تناول الأطعمة التي تحتوي علي فيتامين c كل يوم و يفضل الإكثار منها أيضاًً ، لأنها مفيدة جداً للجسم و لصحة اللثة و تقويها و تجعلك تقاوم أمراض اللثة بشكل أفضل و من هذه الأطعمة ( البرتقال ، الكيوي ، العنب ، الفراولة ) .
يمكنك أيضاًً تقوية لثتك بصودا الخبز ، و ذلك باستخدام صودا الخبز مع الماء و صنع عجينة منها و ثم بعد ذلك نقوم بوضعها علي فرشاة الأسنان و القيام بتنظيف أسناننا و بها ، و سوف تلاحظ أن لثتك أصبحت أقوي و أكثر مقاومة للأمراض و التهابات اللثة .
احرص أيضاً علي تناول الأطعمة التي تحتوي علي فيتامين D فهو مضاد للالتهابات و مقوي للثة و مفيد جداً لصحة الجسم بشكل عام ، و يمكنك الحصول علي فيتامين D من خلال تناول الأسماك و البيض أو التعرض لأشعة الشمس لمدة ربع ساعة يومياً و يفضل التعرض لأشعة الشمس في الصباح الباكر أو قبل الغروب ، لأنّ الشمس في وقت الظهيرة تكون قوية و قد تسبب لك التعب أو المرض .



