ما الذي يؤذي أسنانك ويتسبب لك بالألم؟

Share your love

لجميع الفئات

1 / 5
ما الذي يؤذي أسنانك ويتسبب لك بالألم؟

ما الذي يؤذي أسنانك ويتسبب لك بالألم؟

هناك العديد من الأمراض والمشاكل التي تواجه الفم عامة والأسنان بشكل خاص، وتتسبب بالأذى وبالتالي تؤدي إلى ظهور ألم الأسنان. تعرف من خلال العرض المرئي التالي على أكثر مشاكل الأسنان شيوعا التي تتسبب في آلام الأسنان:

 
لجميع الفئات

1 / 5
لجميع الفئات

2 / 5
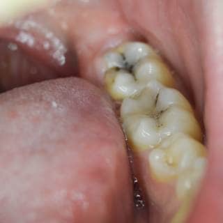
تسوس الاسنان

تسوس الاسنان

يعتبر تسوس الأسنان من أكثر مشاكل الأسنان شيوعا، وهو عبارة عن إصابة أجزاء من أسنان بالتعفن، الذي قد يتطور الى ثقوب صغيرة أو كبيرة بشكل تدريجي، نتيجة لعدة أسباب وعوامل، من بينها: عدم الاعتناء بنظافة الاسنان، تناول الحلويات ومشروبات تحتوي على السكّر. في حال عدم معالجة تسوس الاسنان، فإن الثقوب قد تكبر وتتسع مما يسبب الاما شديدة، التهابات، وحتى فقدان أسنان ومضاعفات اخرى.

لجميع الفئات

2 / 5
لجميع الفئات

اعلان
لجميع الفئات

اعلان
لجميع الفئات

3 / 5
التهاب عصب الاسنان

التهاب عصب الاسنان

عصب السن هو عصب يمتد إلى جذور السن يحتوي على أوعية دموية ونسيج داعم، ومن الممكن أن يصاب هذا العصب بالالتهاب وذلك نتيجة عدوى بكتيرية أو فيروسية، إلا أنه يمتد إلى المناطق المجاورة له وتكمن صعوبة هذا الالتهاب بكونه يمتد إلى منطقة المينا والعاج فيؤدي إلى انحصار الالتهاب ويزيد معه ألم الأسنان.

لجميع الفئات

3 / 5
لجميع الفئات

4 / 5
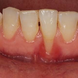
الأسنان الحساسة

الأسنان الحساسة

تحدث حساسية الأسنان عند تآكل مينا الأسنان في غياب أي نوع من الحماية للعاج (Enamel). عند تراجع اللثة، تختفي الأنسجة وينكشف عنق السن، وعادة ما يكون ذلك بسبب تلف الأسنان الذي يحدث نتيجة للتسوس أو انحسار اللثة وغيرها من المشاكل،  تزداد حساسية الاسنان سوءاً عند تناول المشروب أو الطعام البارد أو الساخن أو الحلو، وفي بعض الحالات أثناء الكلام، عندما يكون الفم مفتوحاً ويدخل الهواء البارد إلى داخله.

لجميع الفئات

4 / 5
لجميع الفئات

5 / 5
مشاكل اللثة

مشاكل اللثة

التهاب اللثة (Gingivitis)، الذي يطلق عليه أحيانا اسم مرض اللثة (Gum Disease)، عبارة عن تراكم الجراثيم في جوف الفم، ما قد يؤدي، إذا لم تتم معالجته بالطريقة الصحيحة إلى فقدان الأسنان، نتيجة للتلف الذي يصيب الطبقة التي تغلف الاسنان. اضافة الى أنه يتسبب في ظهور الألم.

لجميع الفئات

5 / 5

[wpcc-script type=”text/javascript” src=”https://static.webteb.net/resources/production/webteb/js/slideshowJs_98002539630_51-15070272750″]
من قبل منى خير

Source: Webteb.com

اترك ردّاً

لن يتم نشر عنوان بريدك الإلكتروني. الحقول الإلزامية مشار إليها بـ *


Stay informed and not overwhelmed, subscribe now!