
سرطان الدم الليمفاوي الحاد
Share your love
سرطان الدم الليمفاوي الحاد
Acute lymphoblastic leukemia

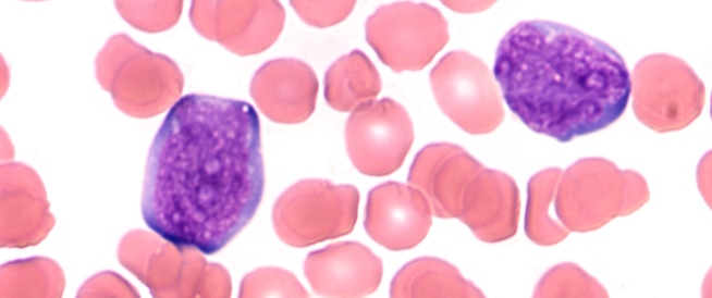
إن سرطان الدم الليمفاوي الحادّ او ابيضاضَ الدم الليمفاوي الحادّ (Acute lymphoblastic leukemia) هو مرض سرطاني ينتج في أعقاب انقسام خلايا سرطانية بدون رقابة، والخلايا هي خلايا دم بيضاء تدعى أَرومة اللمفاوية. إن هذا هو سرطان الدم (اللوكيميا) الأكثر شيوعًا وسط الأطفال ويشكل 20% من كل أنواع سرطان الدم (اللوكيميا) المختلفة لدى البالغين.
ولقد تطورت في السنوات الأخيرة طرق تشخيص وعلاج لمرض سرطان الدم (اللوكيميا)؛ وفي أيامنا، فإن ثلثي الأطفال وبين ربع حتى نصف البالغين يشفون من ابيضاض الدم الليمفاوي الحاد.
إن شيوع سرطان الدم (اللوكيميا) الليمفاوي في الولايات المتحدة هو 1:100000 وهو أكثر شيوعًا وسط الذكور. نجد نسبة أكبر وسط الأطفال تحت سن خمس سنوات. أما فوق سن الـ 35 فهنالك ارتفاع بسيط في شيوع سرطان الدم (اللوكيميا) الليمفاوي، وارتفاع آخر حاد بعد سن الـ 80.
إن سرطان الدم (اللوكيميا) الليمفاوي مصنف لمجموعات فرعية وفقًا لنتائج الفحوصات؛ والتصنيف هو لابْيِضاضِ الدم الحاد من نوع T أو من نوع B، وكل من هاتين المجموعتين مصنف لمجموعات فرعية أخرى وفقًا لمرحلة النمو الموجودة فيها الخلية السرطانية الأصلية.
إن الخلل الكروموزومي (الصِّبْغي) الذي له أكبر أهمية للتنبؤ بمرض أصعب هو وجود كروموزوم فيلادلفيا، الذي ينتج عن استبدال مقاطع بين الصبغيات 9 و 22.
أعراض سرطان الدم الليمفاوي الحاد
إن أغلبية الأعراض التي تظهر في المرض ناتجة عن فشل النخاع العظمي وتشمل:
- شحوب الجلد
- الوهن والتعب بسبب فقر الدم (انخفاض مستوى الهيموجلوبين)
- علامات نزيف بسبب قلة الصَّفيحات (Thrombocytopenia)
- العَداوى بسبب قلة العَدِلات (Neutropenia) أي انخفاض مستوى خلايا الدم البيضاء
بالإضافة إلى ذلك، فهنالك الأعراض التي تدل على انتشار المرض لأعضاء أخرى مثل العُقَد اللِّمْفِيَّة، الكبد أو الطحال. يمكن أن ينتشر المرض لجهاز الأعصاب المركزي.
يتوجه بعض المرضى للعلاج بسبب أوجاع في العظام أو المفاصل، والتشخيص هو عن طريق القيام بعَدِّ خلايا الدم الشامل، النظر إلى عينة من الدم تحت الميكروسكوب وفحص النخاع العظمي (نِقْيِ العَظْم). من المحبذ فحص السائل المخي النخاعي.
أسباب وعوامل خطر سرطان الدم الليمفاوي الحاد
لم يكتشف حتى الآن سبب واضح، الذي يمكن الإشارة له كمُسَبِّبٍ لمرض اللوكيميا الليمفاوية الحادة.
يمكن عند ظهور سرطان الدم الليمفاوي معرفة إذا كان المريض موجودًا في المجموعة المعرضة لمرض أخطر، وبالتالي تحديد العلاج بشكل ملائم.
تشخيص سرطان الدم الليمفاوي الحاد
يعتمد تشخيص ابيضاض الدم الليمفاوي على شكل الخلايا في الميكروسكوب (المورفولوجيا)، وفحص واسِمات سرطانية (واصِمات – Markers) والصِّبْغِيَّات في الخلايا السرطانية
علاج سرطان الدم الليمفاوي الحاد
إن علاجًا جديدًا لابْيِضاض الدم الحادّ، يتمثل في إعادة النخاع العظمي لتنفيذ وظائفه بأسرع ما يمكن، العلاج الكيميائي وعلاج وقائي بالأشعة لجهاز الأعصاب المركزي لمنع انتشار المرض، علاج للتخلص من المرض المتبقي، وعلاج لمنع رجوع المرض. إن علاج سرطان الدم الليمفاوي الحاد يتضمن علاجًا داعمًا، علاجًا كيميائيًّا وزرع نخاع عظمي إذا كان هنالك حاجة لذلك.



